Cada vez mais comuns devido à vida urbanizada da população, as doenças inflamatórias intestinais são condições autoimunes que causam sintomas graves. Divididos basicamente entre doença de Crohn e retocolite ulcerativa, os distúrbios causam diarreia frequente e impactam a qualidade de vida do paciente, que não consegue sair de casa.
“Indivíduos que são suscetíveis geneticamente, quando têm contato com alguns fatores ambientais, podem desenvolver a doença inflamatória. Normalmente, essas pessoas manifestam sintomas como aumento no número de evacuações, sangue nas fezes e muco. Algumas apresentam emagrecimento, anemia, aftas na boca ou na região perianal”, explica o coloproctologista Rogerio Parra, professor da USP e diretor do Serviço de Doenças Inflamatórias e Intestinais do Hospital das Clínicas de Ribeirão Preto.
Leia também
-
Saúde
Doenças inflamatórias intestinais não são mais raras e exigem atenção
-
Saúde
Doença de Crohn: quais são os sintomas da doença de Evaristo Costa
-
Saúde
Jovem com doença de Crohn chegou a evacuar 30 vezes por dia. Entenda
-
Saúde
Estamos inflamados? Saiba o que é o quadro e como controlar os efeitos
Sintomas das doenças inflamatórias intestinais
- Diarreia que se repete mais de seis vezes ao dia, às vezes com sangue ou muco;
- Dor abdominal;
- Urgência para evacuar;
- Perda de peso sem explicação;
- Fadiga;
- Mudança no ritmo intestinal.
Muitas pessoas têm vergonha dos sintomas, ou não os consideram algo grave, o que acaba atrasando em muitos meses o diagnóstico e início do tratamento. Existem várias medicações disponíveis, mas Parra conta que elas funcionam melhor entre seis e 12 meses do início dos sintomas.
No Brasil, o diagnóstico pode demorar cerca de três anos. “É importante perder o pudor, procurar um especialista e fazer uma colonoscopia”, alerta o médico.
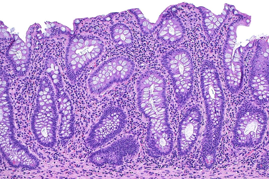
As doenças inflamatórias intestinais são divididas basicamente em doença de Crohn e a retocolite ulcerativa
Os gatilhos das doenças inflamatórias intestinais
O gastroenterologista colombiano Fabian Juliao Baños, presidente da Organização Panamericana de Chron e Colite (Pancco), explica que uma dieta rica em ultraprocessados, com muita gordura, e uma rotina de pouco sono e exercício, cigarro, álcool e poluição parecem ser gatilhos para o desenvolvimento das doenças inflamatórias intestinais.
“Há um componente genético de 15% ou 20%, mas 80% são fatores ambientais. Outros fatores, como mudança da microbiota intestinal e bactérias específicas, estão sendo estudados”, ensina o médico.
Apesar dos sintomas complicados e o aumento dos casos, o presidente da PANCCO lembra que cerca de 70% dos casos são leves a moderados. Para evitar que se manifestem e piorem, é essencial alterar a rotina.
“Temos visto que medidas saudáveis, sem ultraprocessados, pouco açúcar refinado, diminuem em cerca de 50% as chances de desenvolver a doença. É importante ter hábitos saudáveis”, afirma.
Siga a editoria de Saúde e Ciência no Instagram e fique por dentro de tudo sobre o assunto!







